Meet the CSIC team contributing expertise in tumour microenvironment analysis

The Spanish National Research Council (CSIC), through the Institute of Advanced Chemistry of Catalonia (IQAC) is contributing to the CancerScan project through its expertise in tumour microenvironment (TME) analysis and molecular characterisation. CSIC researchers are working to better understand how cancer cells interact with their surrounding environment and how these interactions influence tumour progression and treatment response.

Within CancerScan, CSIC focuses on the study of cell–cell communication mechanisms in complex tumour models. These interactions are increasingly recognised as critical drivers of therapy resistance and tumour adaptation, making them highly relevant for the development of realistic tumour digital twins.

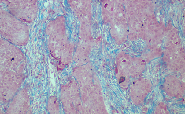
Image of pancreatic cancer cells (in pink) surrounded by tumoral stroma (in blue)

Understanding communication within the tumour microenvironment

A particular area of interest for CSIC is the role of extracellular vesicles and signalling molecules that mediate communication between tumour cells and stromal or immune cells. These signals allow tumours to function as coordinated systems rather than isolated cells, adapting dynamically to stress and treatment.

By characterising these communication pathways, CSIC helps provide biological insight that supports CancerScan’s broader objective of integrating experimental data into predictive computational models.

Early coordination with clinical and experimental partners

At this early stage of the project, CSIC is establishing experimental and analytical workflows in close coordination with clinical partners, particularly Vall d’Hebron Research Institute (VHIR). This collaboration ensures harmonised sample handling procedures and data generation strategies across the consortium.

Such alignment is essential to ensure that molecular and cellular data can be effectively integrated into CancerScan’s modelling and simulation pipelines.

CSIC’s work helps lay the biological foundation for patient-specific tumour digital twins by capturing the complexity of tumour–environment interactions.

 

“Understanding how tumour cells communicate with their environment is essential to explain treatment resistance and improve predictive models.”

(Ibane Abasolo, CSIC researcher, CancerScan project coordinator)

 

By combining its expertise in tumour microenvironment analysis with the complementary strengths of other CancerScan partners, CSIC contributes to building a more comprehensive and biologically grounded approach to personalised cancer treatment. This foundational work will support future advances toward patient-specific digital twins capable of informing therapeutic decision-making.

 

Links

https://www.iqac.csic.es/research/departments/surfactants-and-nanobiotechnology/nanomedicine-for-therapeutic-applications/

https://www.cancerscanproject.eu

Keywords

tumour microenvironment, cell–cell communication, extracellular vesicles, digital twins, cancer research, personalised medicine, CSIC, IQAC